Soutenez

GoFundMe: la valeur d’un sourire

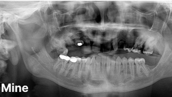
Photo: Gracieuseté, Tristen Parish

Arrivé à Montréal en 2020 après avoir grandi en Ontario, Tristen Parish est cuisinier au bar Henrietta. Il ne peut cependant pas déguster les délicieux mets qu’il prépare sous peur de perdre le peu de dents qu’il lui reste. Atteint d’un problème de développement, Tristen Parish n’a en effet jamais eu une dentition normale. Il cherche aujourd’hui 9000$ pour résoudre son problème, et a entre autres lancé une campagne GoFundMe pour y arriver.

Le jeune homme de 26 ans est atteint d’une forme d’hypodontie génétique. Il lui manque ainsi cinq dents d’adultes et toute ses dents de sagesse. Ses cinq dents de lait qui auraient dû tomber naturellement sont restées en place trop longtemps, aucune dent ne se trouvant dessous pour les faire tomber. Elle ont ainsi commencé à pourrir à l’intérieur de sa bouche.

Ses autres dents se détériorent égaement rapidement. Tristen, qui perd des bouts de dents chaque mois, raconte que frotter sa langue contre ses dents est «comme la frotter sur du verre brisé». Il ne lui reste plus que cinq ou six dents du haut intactes.

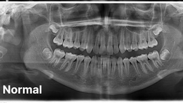
Une dentition normale comparée à celle de Tristen

De graves conséquences

Comme il ne peut manger normalement, Tristen se concentre sur des aliments mous et s’alimente donc principalement de smoothies, de sauces ou de soupes, faisant extrêmement attention dès que sa nourriture est plus consistante.

Avec les problèmes buccaux viennent aussi d’autres enjeux de santé. Il raconte par exemple avoir développé des problèmes respiratoires liés à sa dentition; il a le nez toujours bouché et respire de la bouche pendant la nuit. Et si ce n’est pas encore le cas, son problème pourrait aussi se rendre au cerveau et avoir des conséquences graves.

Au-delà de la santé physique, le mental de Tristen est aussi gravement affecté par sa situation. «Les gens ne réalisent pas comme c’est important d’avoir des dents simplement normales», témoigne-t-il. Depuis sa puberté, il remarque sa différence. Il a grandi en cachant son sourire et en ne mangeant jamais en public, à cause de la gêne que lui cause sa situation.

Il pense constamment à son haleine, sans pouvoir mâcher de gomme pour la changer, et avoue avoir de la misère en amour, lorsqu’il montre ses dents lors de rendez-vous. Toutes ces déceptions l’ont mené à des périodes d’abus d’alcool et lui ont souvent fait questionner le but de sa vie.

Retrouver le sourire

Ayant eu une enfance difficile financièrement, sa dentition n’a pas été prise en charge pendant de nombreuses années. «On aurait dû s’en occuper il y a dix ans, explique-t-il. Maintenant, la situation est pire que jamais.»

Une fois à Montréal, il s’est décidé à régler la situation. Trouver un dentiste pour s’en occuper a cependant été compliqué.

La procédure requise consiste à enlever toutes ses dents du haut pour les remplacer par une dentition temporaire, puis une seconde permanente. «La procédure demande une personne avec une expertise très nichée. Elle est assez facile, mais dispendieuse et prend du temps», raconte-t-il.

Après de nombreux refus, il a finalement trouvé un dentiste prêt à s’occuper de lui. «C’était comme une bouffée d’air frais.»

Le tout lui coûtera entre 8000$ et 9000$, somme qu’il accumule avec ses économies personnelles, en vendant des toiles et par une page GoFundMe.

Mais avoir un nouveau sourire n’a pas de prix pour le jeune homme. «Entre gagner à la loterie ou avoir de nouvelles dents, je prendrais les dents à chaque fois!»

Une dent contre l’assurance publique

Le problème de Tristen n’aurait jamais atteint un tel état s’il avait eu les moyens de s’en occuper plus tôt. Il trouve aberrant que les assurances dentaires publiques ne couvrent que le strict minimum. «C’est complètement fou! Ta santé dentaire est ta santé physique!», s’exclame-t-il.

Bien que des nettoyages soient couverts, le jeune homme rappelle que tous n’ont pas la chance d’avoir une dentition normale. Entre 2 et 8% de la population générale souffre l’hypodontie, et il ne s’agit que d’un problème dentaire parmi plusieurs autres.

«Je pense qu’au Canada, peu de gens réalisent à quel point une mauvaise dentition peut être nuisible pour la santé physique», ajoute-t-il, espérant voir une meilleure couverture publique dans le futur.

Chaque semaine, une sélection des nouvelles de votre arrondissement.

Nos infolettres vous suivent partout.

Articles récents du même sujet

Mon
Métro

Découvrez nos infolettres !

Le meilleur moyen de rester brancher sur les nouvelles de Montréal et votre quartier.